Introduction
Veterinary vaccines produce an outstanding advancement in enhancing animal survival and welfare.1 Vaccinations work by stimulating the immune system to produce an immune response against specific pathogens without causing the disease itself. In some cases, vaccines can lead to the formation of granulomas at the injection site, which is known as a granulomatous reaction to the vaccine.2
Intraperitoneal granulomas are nodules formed by the body’s immune response to encapsulate and isolate the pathogen in fish. They are a common response to various stimuli, such as infections, parasites, or foreign bodies entering the peritoneal cavity.
Vaccine adjuvants are substances added to some vaccines to enhance the body’s immune response to the antigen, thereby improving the vaccine’s effectiveness.3 Adjuvants can sometimes trigger a localized inflammatory response at the injection site, leading to the formation of granulomas. This is known as a granulomatous reaction to the vaccine adjuvant.
While adjuvants are essential for enhancing vaccine effectiveness, their safety profile is carefully evaluated during the vaccine development process. Regulatory agencies like the FDA and WHO have strict guidelines for using adjuvants in vaccines to ensure their safety and efficacy. Overall, adjuvants play a critical role in vaccine development by improving immune responses and improving vaccines’ effectiveness in preventing infectious diseases.3
The formation of granulomas due to vaccine adjuvants varies depending on the specific vaccine formulation and individual immune responses. While granulomas caused by vaccine adjuvants are often resolved independently, they can sometimes cause discomfort or other symptoms at the injection site. If one has concerns about granulomas following vaccination, it’s advisable to consult a healthcare provider for proper evaluation and guidance.4
The Israeli aquaculture has developed very successfully over a long period. However, further development has been restrained for several reasons: 1. reaching the upper limits in high stocking rates of fish in ponds and 2. the acute limitation of water and land for aquaculture.5 The next step was the introduction of new fish species: European sea bass (Dicentrarchus labrax) and barramundi (Lates calcarifer), which had better prices in the market than usual carp and tilapia.
During the introduction process, it was found that both species were susceptible to Streptococcus iniae infections. To minimize losses and decline in antibiotic use, a private company specializing in vaccines for fish farming developed an autogenic vaccine.
However, after 9-12 months of growth, the appearance of granulomas was determined visually in the abdomen cavity of vaccinated fish when harvested.
The present study investigated the cause of granulomas and evaluated its effect on fish health.
Materials and Methods
FISH
The fish were obtained from the only farm producing European bass and barramundi fingerlings and three commercial farms (A, B, and C) that culture these fish.
- 
Five-gram portions of non-vaccinated and vaccinated barramundi were obtained from the fish-producing farm before being sent to fish farms A and B, where they were cultured in closed systems. 
- 
Vaccinated barramundi individuals of market size were received from the same farms, A and B. 
- 
The present study aimed to sample 400-gram European sea bass from the two fishponds of fish farm C. Previously, the juveniles of these fish from the same batch were split into two groups. One fish group was vaccinated intraperitoneally with an adjuvanted vaccine against Streptococcus iniae, while another group was not vaccinated. These two groups were reared separately in two identical earth ponds with the same square, water source, and fish density. 
Fish samples were collected and transported to the Central Fish Health Laboratory in Nir David, where they underwent parasitological,6 bacteriological,7 histological (Agar Scientific Ltd. Protocol), and virologic examinations.
Parasitology
Fish were euthanized by overdose of phenoxyethanol, measured, and weighed for calculating the condition factor (CF). It was done according to the Fulton formula to assess normal fish development. Wet preparations of gills, brain, eyes, kidney, liver, intestine, spleen, and skin were examined under a light microscope to detect parasites. Granulomas were removed and observed under binoculars and light microscopy. The responses to vaccination were evaluated. The evaluation was conducted by directly analyzing the peritoneal cavity of all fish groups (10 fish per group). A classification of intra-abdominal lesions was adopted from a scheme by Tziouvas and Varvarigos.8
Bacteriology
Bacteriological isolations were performed on Blood TSA (Tryptic Soy Agar, Novomed), Lowenstein-Jensen Medium Slants (BD BBL), and BHI (Brain heart infusion agar, Oxoid, England). Sterile swabs were used to touch on granulomas’ inner contents to isolate bacteria.
Virology
These fish were checked for pathological viruses in the Virology Laboratory of the Kimron Veterinary Institute.
Histology
Fish liver, kidney, spleen, heart, and intestine were fixed in 10 % BNF (buffered
neutral formalin) for 24 hours and processed according to routine procedures. Tissues were
embedded in methacrylate (Electron Microscopy Sciences) and sectioned to 3 microns with
a microtome (Leica RM2245). The sections were stained with hematoxylin-eosin (H&E), Giemsa, Toluidine blue, and Ziehl Neelsen Stain.
Results
Fish
- 
No mortalities of 5-gram fish were observed during the first month after vaccination. 
- 
According to examination data from the Central Fish Health Laboratory, no outbreaks of vaccinated fish were noted in all three commercial farms (A, B, and D) during the fattening period. 
All the vaccinated groups showed uniform growth rates, and their condition factors varied from 2.5 to 2.9, considered normal values.
Parasitology screening
Parasitology revealed no pathogens.
Abdominal side effects of non-vaccinated and vaccinated fish were measured.
There were no visible lesions in non-vaccinated small barramundi and non-vaccinated market-size sea bass.
Small vaccinated barramundi had many small (1 mm in diameter) non-pigmented peritoneal lesions around inner organs. The free residue of the fluid vaccine was observed in some small fish (Figure 1). Organs separated easily without force.
Many soft peritoneal nodules of different sizes (1 to 5 mm in diameter) were found in all market-size vaccinated fish from all 3 farms (Figure 2). Most of the nodules were creamy-colored, but some were orange-colored. Organs separated easily. No melanizations were noted on the fillet and the inner organs.
During the macroscopic examination, most of the granulomas burst due to pressure, and the oily fluid of the vaccine flew out. According to the proposed ordinal scale for intra-abdominal side effects (H. Tziouvas and P. Varvarigos, 2021), the discovered lesions were evaluated with a score of 1-4 (scale has 7 scores).
Bacteriology and virology
The results of the bacteriology and virology were negative.
Histology
- 
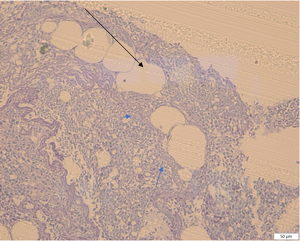
Small fish. The affected peritoneum of small vaccinated fish revealed clear and empty spaces with granulomatous reactions. This indicated the oil droplets of the vaccine disappeared during the histological process (Figure 3). 
- 
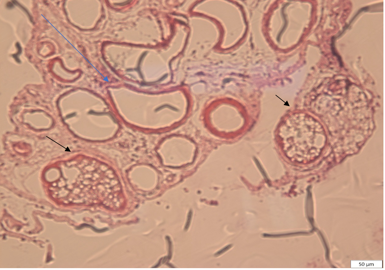
Market-size fish. Granulomas were observed in peritoneal adipose tissues located between the inner organs. Granulomas had soft capsules and contained oil vacuoles with cell debris or were empty (Figure 4). The capsule wall consisted of fibroblasts and fibers. Rarely did the small count of granulomas become gold-brown due to the presence of ceroid. No inflammation was found in the peritoneal cavity or the inner organs of fish. 
The results of the Ziehl Neelsen stain of all tissues were negative.
Discussion
Fish vaccination has a successful history in Israel for over 35 years. Two vaccines against Streptococcus iniae and KHV (Koi Herpes Virus) were developed by Israeli scientists9,10 and have become very important and effective tools for the prevention of these dangerous infections. Only two times have Israeli aquaculture faced the problem of side effects of vaccination. It was the first time during testing the vaccine’s efficiency against streptococcosis in a certain strain of tilapia and rainbow trout. It was discovered that Oreochromis niloticus developed an adverse reaction to the vaccine with inflammation and numerous granulomas in the abdomen. Other tilapia strains didn’t demonstrate any pathological signs and showed good results during further tests. The second case connected to granulomas after the vaccinations was revealed in the imported European sea bass (Dicentrarchus labrax). After these cases, the side effects of vaccination with traditional vaccines have never been found. However, the new fish species showed an exaggerated reaction to vaccination. However, despite discovering the granulomas in the abdomen of different aged fish, there was no pigmentation on musculature and the inner organs or peritoneal adhesions. All observed granulomas had identical structures: soft wall capsules surrounding vacuoles or empty spaces corresponding to the vaccine’s oil droplets. It indicated a weaker reaction to intraperitoneal injections than the one described for salmonids.11 The comparative visual and histological observation of vaccinated and non-vaccinated fish revealed clear differences. Non-vaccinated fish did not have any pathological changes that resembled granulomas and did not have any signs of inflammation. At the same time, the vaccinated fish had peritoneal lesions that were strongly identical to findings from our archive histological data and by research provided by Alonso et al.12 and Tziouvas and Varvarigos.8 Fish farmer’s reports have not discovered any negative influence of vaccines on the growth, survival rate, and condition factor of fish. Thus, the vaccine demonstrated its efficiency, and the only disadvantage was that these lesions don’t tend to dissolve with time. The conclusion is that discovered granulomas are not associated with pathogens but are caused by a vaccine adjuvant that does not dissolve with time and thus induces side effects.
While residual vaccine adjuvants in fish are generally considered safe when used according to approved guidelines and regulations, ongoing research and monitoring are essential to ensure fish and consumers’ continued safety and welfare. Adherence to regulatory standards, good aquaculture practices, and responsible vaccine use are key factors in minimizing any potential impacts of leftover fish adjuvants.4
It should be emphasized that we focused on these species because of their acute reaction to the vaccination. Hybrid tilapia, the main species cultured in Israel, doesn’t show any reactions, like side effects, to the vaccination. Another vaccine used in Israeli aquaculture is the vaccine against KHV (Koi Herpes Virus), which also doesn’t cause side effects in carp and koi.
Israeli aquaculture uses only two types of vaccines: against KHV (Koi Herpes Virus) in carp and against Streptococcus iniae in tilapia, barramundi, and bass. These vaccines are produced by a private company that uses one type of adjuvant in the vaccine against Streptococcus iniae, which doesn’t allow for comparing different types of adjuvants.
The vaccination against KHV is performed by immersion but not injection. This circumstance does not allow us to compare these two vaccines because immersion has never caused side effects such as granulomas, and it is a different way of providing vaccination.
Fish processing is a crucial step in the seafood industry that involves converting raw fish into various products for human consumption. The process typically includes several stages, each aimed at preserving the fish’s freshness and quality while preparing it for distribution and sale. Quality control measures are implemented throughout the fish processing chain to ensure that products meet regulatory standards for fish welfare, food safety, hygiene, and quality. This may involve regular veterinarians’ inspections, testing, and monitoring of processing facilities and products.13
In conclusion, the purpose of our study wasn’t to compare different kinds of vaccinations or discuss different types of adjuvants. This is a case study, and it did not escape our attention that the farming sector in Israel used only one kind of adjuvant for the abovementioned purpose. Besides, the chemical composition of the used adjuvant is a secret formula of the producer.
Outreach programs can provide veterinarians with up-to-date information and training on vaccine adjuvant granulomas, including their causes, characteristics, and management. This education can help veterinarians better understand the differences between granulomas and other inflammatory reactions, enabling them to make accurate diagnoses and treatment decisions.
Outreach efforts can disseminate the latest research findings and developments related to vaccine adjuvant granulomas, allowing veterinarians to stay informed about new insights. Outreach programs can facilitate networking and collaboration among veterinarians, researchers, and industry experts working in fish health and public health during the evaluation process before fish processing to avoid mistakenly identifying healthy fish as unhealthy.
Acknowledgments
We thank the Beit She’an Valley, Israeli fish farmers, for their kind collaboration.
Authors’ Contribution
Conceptualization: Margarita Smirnov (Equal), Tetsuzan B Ron (Equal). Data curation: Margarita Smirnov (Equal), Hanna Hershko (Equal). Methodology: Margarita Smirnov (Lead). Investigation: Margarita Smirnov (Lead), Hanna Hershko (Supporting). Writing – original draft: Margarita Smirnov (Equal), Tetsuzan B Ron (Equal). Writing – review & editing: Margarita Smirnov (Equal), Tetsuzan B Ron (Equal).
Competing of Interest – COPE
The authors declare that they have no known competing financial interests or personal relationships that could have appeared to influence the work reported in this paper.
Ethical Conduct Approval – IACUC
Research involving animals
The Central Fish Health Laboratory in Nir David is certified by the Israeli Ministry of Agriculture and Rural Development Institutional Animal Care and Use Committee to conduct fish pathological examinations and investigations.
Informed Consent Statement
All authors and institutions have confirmed this manuscript for publication.
Data Availability Statement
All are available upon reasonable request.




_or_contain_oil_vacuoles_(sh.jpg)



_or_contain_oil_vacuoles_(sh.jpg)